髌骨骨折康复训练视频,视频教程详解与康复步骤
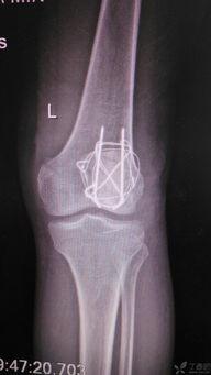
最近是不是不小心扭到了膝盖,疼得你坐立难安?别担心,...
2026-01-17
17
最近是不是不小心扭到了膝盖,疼得你坐立难安?别担心,...
最近网上可是炸开了锅,一条仙桃武警打人的视频让无数网...
亲爱的读者们,今天我要带你们走进一个甜蜜的世界,那就...
亲爱的读者们,今天我要和你分享一个超级搞笑的话题——...
亲爱的读者们,你是否曾在某个瞬间,对着电脑屏幕,渴望...
你是不是也有过这样的烦恼?就是想通过微信给朋友发送一...
亲爱的读者们,今天我要和你分享一个温馨而又充满爱意的...
亲爱的舞者,你是否曾在舞台上,被那五彩斑斓的LED背...
你有没有发现,现在不管是逛淘宝还是拼多多,连微店都变...
你有没有想过,家里的墙壁是不是也能像你最喜欢的羽绒服...